【试管】IVF术前为何要做宫颈TCT检查
2016/6/22 IVF优生

试管婴儿术前检查的众多检验单,其中有一张是宫颈液基薄层细胞学检测(TCT),这是查什么的呢,为什么做试管婴儿前要查这个?报告如何看?有异常怎么办?最常见的异常“ASC-US”又是个什么情况呢?
1宫颈TCT是查什么的?
宫颈TCT是液基薄层细胞学检测的简称,采用TCT进行宫颈细胞学筛查,并进行细胞学分类诊断,是一种宫颈癌前检查项目,与传统的宫颈刮片(巴氏涂片)检查相比,明显提高了标本的质量,以及异常细胞的检出率。TCT宫颈防癌细胞学检查对宫颈癌细胞的检出率为100%,同时还能发现部分癌前病变,微生物感染如霉菌、滴虫、病毒、衣原体等。
2为什么做试管婴儿前要做TCT?
2014年流行病学调查显示,我国宫颈癌发病率已高居世界第二位,仅次于智利。宫颈癌发病年轻化趋势明显,10年间下降约5岁。我国著名演员梅艳芳、李媛媛都是因宫颈癌去世的。
宫颈癌的危险因素包括:高危型人乳头瘤状病毒(HR-HPV)的持续感染,吸烟史、分娩、长期避孕药、性生活过早、多个性伴侣、性病史、和慢性免疫抑制,新的发现还与男性配偶的包皮过长有关。宫颈癌筛查可早期发现病变,降低女性宫颈癌发生率。

根据美国最新宫颈癌筛查指南中指出:<21岁人群不进行初筛;21~29岁人群:细胞学筛查每3年1次;30~65岁人群:优先方案是细胞学和HR-HPV共同检测每5年1次,另一种方案为单独细胞学检测每3年1次。
试管婴儿治疗的妇女因准备怀孕,而妊娠期如有异常无法进一步检查和治疗,演员李媛媛就是在怀孕期发现宫颈癌的,等把孩子生下来以后,病情就无法控制了。所以我们常规建议准妈妈在试管婴儿成功前每年复查一次宫颈TCT,我们中心就有好几例患者是在试管婴儿的术前检查时发现宫颈癌和癌前病变的。

3宫颈TCT报告怎么看?
宫颈TCT检查一般在取样一周后出报告,TCT报告单如何看呢?目前的TCT报告是根据TBS分类诊断(The Bethesda System2001),常见结果如下:
>>>>
阴性
包括未见上皮内病变细胞或恶性细胞、炎症、良性反应性改变。一般不需治疗,除非特别指出存在感染霉菌、滴虫、线索细胞等。
>>>>
鳞状上皮细胞异常
①意义不明确的非典型鳞状上皮细胞 ASC-US(最常见的异常筛查结果);
②意义不明确的非典型鳞状上皮细胞,不除外高度病变 ASC-H;
③低度鳞状上皮内病变 LSIL;
④高度鳞状上皮内病变 HSIL;
⑤鳞癌 SCC。
>>>>
腺细胞异常
①非典型腺细胞AGC;
②原位腺癌AIS;
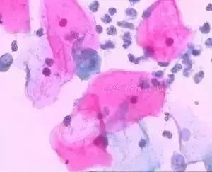
③腺癌Adenocarcinoma.

(图:TCT的镜下细胞)
4宫颈TCT报告结果为ASC-US怎么办?
TCT报告为ASC-US虽然提示结果异常,但也不需要恐慌。往往还需要做其他检查以确定是否存在癌前病变。有的癌前病变可以自行消失或者通过简单的门诊治疗可以治愈。

(图:30岁以上妇女的处理)
25~29岁妇女,若宫颈细胞学检查结果为ASC-US,首选HPV检测,也可复查TCT或宫颈细胞DNA倍体分析,因为在这个年龄组患宫颈癌的风险开始增加;21~24岁妇女结果为ASC-US者,尽管首选是复查TCT,但也可以接受HPV检测。

欢迎关注IVF优生(ivfys52)、和睦家优生(IVF5233),如需咨询请可直接留言,即可获取咨询方式。
http://www.duyihua.cn
返回 IVF优生 返回首页 返回百拇医药